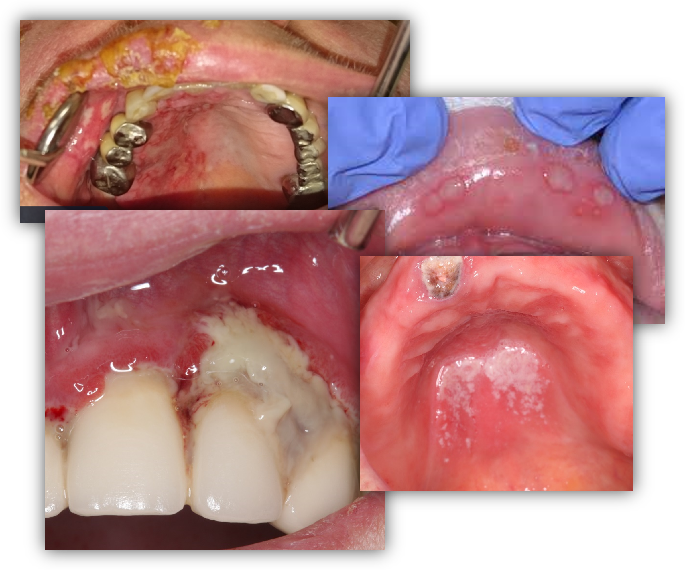
…és nem utolsó sorban a szájüregi fotókat, amelyek segítségével fogorvosaink megállapítják, hogy van-e szájnyálkahártya-elváltozás a vizsgált személynél.
A továbbiakban következik egy kis útmutató, hogy könnyebben véleményezzétek a látott elváltozásokat:
Ahhoz, hogy a számítógépen ugyanazt láthassuk, mint Ti élőben, az alábbi fényképeket készítsétek el:

…és ha szükséges, az elváltozásokról külön is készítsetek fényképet:
